طرح لبخند
تغییر طرح لبخند یا اصلاح لبخند به افراد این امکان را میدهد که لبخندی زیبا داشته باشند و به همین دلیل از روش های مختلفی در دندانپزشکی زیبایی و ترمیمی استفاده میشود تا لبخندی دل نشین به افراد هدیه شود، یکی از بهترین و لطیف ترین جلوه های انسان قطعا لبخند زیبا و دلنشین او است.
برای رسیدن به یک لبخند زیبا با دندان های بی نظیر، ممکن است نیاز باشد که تغییراتی در شکل لثه، طول دندان ها، فاصله بین دندان ها و برآمدگی دندان ها ایجاد کنید تا در نهایت به لبخندی زیبا برسید. در واقع بین اجزای صورت، اندازه هر عنصر، رنگ و شکل آنها در ترکیب با یکدیگر روابطی وجود دارد که در صورت حفظ تناسب این روابط، چهره را مطلوب و زیبا میکند.
طرح لبخند در میان افرادی که به دنبال درمان های زیبایی دندان برای بهبود لبخند خود هستند به گزینهای محبوب تبدیل شده است. با توجه به اهمیت لبخند در تعاملات اجتماعی، جای تعجب نیست که بسیاری از مردم به ایجاد طرح لبخند علاقه مند هستند؛ اما مزایای این کار چیست؟ چند روش برای انجام این کار وجود دارد؟
این سوال ها و کلی سوال دیگر در ذهن افرادی که قصد انجام این کار را دارند پدید می آید، ما در ادامه قصد داریم نکات مهمی درباره روش های زیبایی دندان بیان کنیم، امیدواریم این مطالب برایتان مفید خواهد بود.
انواع طرح لبخند
امروزه با پیشرفت تکنولوژی متخصصین توانسته اند انواع طرح های لبخند با ویژگی های منحصربه فرد را به مشتریان خود ارائه دهند، در ادامه قصد داریم شما را با انواع روش های طرح لبخند آشنا کنیم.
طبیعی: در این روش تمام 32 دندان در ایجاد لبخند طبیعی نقش دارند، هدف از این نوع طرح لبخند ایجاد لبخندی با ظاهر طبیعی است که با ویژگی های صورت و رنگ دندان طبیعی مطابقت داشته باشد. این روش معمولا شامل نشان دادن تمام دندان ها هنگام لبخند زدن و حفظ اندازه و شکل صحیح است.
مینیمالیستی: در شیوه مینیمالیستی، تمام دندان های قابل مشاهده در خط لبخند قرار میگیرند که معمولا شامل هشت دندان جلویی (چهار دندان بالا و چهار دندان پایین) میشود. با این حال، در برخی موارد دندانهای کناری نیز ممکن است بسته به خط لبخند فرد و نتیجه درمان مورد نظر درگیر شوند.
هالیوودی: تمام دندان هایی که هنگام خندیدن قابل مشاهده هستند، در ایجاد لبخند هالیوودی نقش دارند. از جمله این دندان ها میتوان به دندان های ثنایا، دندان نیش، پرمولر و دندان آسیاب اشاره نمود. الگوی لبخند هالیوود از دندان کاملا سفید، صاف و متقارن تشکیل شده است.
لثه ای: هنگامی که لبخند لثه ای رخ میدهد، تمام دندان های جلویی که معمولا شش تا هشت دندان جلویی هستند تحت تاثیر قرار میگیرند. اگر لثه های بیمار هنگام لبخند زدن به وضوح قابل مشاهده باشد، طرح لبخند لثه ممکن است مفید باشد. این نوع روش شامل عمل جراحی بافت لثه برای نمایان شدن بیشتر دندان ها و کاهش دید بافت لثه است.
کامپوزیت چیست؟
اگر دندان تراشیده، آسیب دیده، شکسته یا حتی تغییر رنگ داشته باشد، روش کامپوزیت برای بهبود دندان بسیار مناسب است. دندانپزشک یک ماده کامپوزیت را با استفاده از چسب مخصوص روی دندان قرار میدهد و با استفاده از نور آبی مخصوص آن را به دندان میچسباند. قیمت این نوع مواد بسیار کمتر از لمینت است، بنابراین این نوع روکش برای اصلاح طرح لبخند مناسب تر است.
بلیچینگ
قهوه و چای، سیگار کشیدن و افزایش سن عواملی هستند که منجر به تغییر رنگ دندان میشوند. سفید کردن دندان ها در زیبایی افراد بسیار موثر است، برای سفید کردن دندان، بلیچینگ یک روش موثر بوده که با حذف تغییرات رنگ، دندان ها را سفید و زیبا میکند.
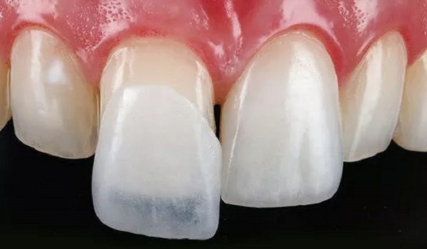
لمینت دندان
برای زیبایی سطح دندان و پوشش عیوب دندان از لمینت استفاده میشود. تغییر رنگ دندان، فاصله بین دندان ها، شکستگی دندان ها، ناهماهنگی و انحنای دندان با انجام لمینت اصلاح میشود. لمینت را نمیتوان در یک جلسه انجام داد و اگر دندان نیاز به بازسازی و درمان پیشگیرانه داشته باشد، قبل از شروع کار باید ترمیم انجام شود. دندانپزشک ابتدا قالب گیری را انجام میدهد و سپس لمینت ها را در لابراتور آماده میکند.
روکش دندان
اگر تاج دندان بر اثر شکستگی، پوسیدگی بیش از حد دندان، ضعیف شدن ساختار دندان یا ضربه آسیب دیده باشد، باید با روکش دندان درمان شود. در واقع این روش جهت اصلاح طرح لبخند بهترین انتخاب برای افرادی است که مشکل دندانی جدی دارند.
روکش دندان از سرامیک ساخته شده و توسط دندانپزشک بر روی دندان قرار میگیرد، با روش روکش ابتدا قالب گیری انجام میشود و سپس برای ساختن روکش به آزمایشگاه میرود. دندانپزشک پس از آماده سازی قالب ها، آنها را با استفاده از چسب مخصوص به دندان ها میچسباند. روکش های دندانی عمر دندان آسیب دیده را افزایش میدهند زیرا به طور کامل روی دندان آسیب دیده را میپوشانند و خطر پوسیدگی دندان را به میزان قابل توجهی کاهش میدهند.
ایمپلنت
یکی دیگر از راه های جایگزینی دندان های از دست رفته، نصب ایمپلنت دندانی است. ایمپلنت از تیتانیوم ساخته شده است و توسط دندانپزشک به عنوان یک میله نازک در استخوان فک قرار میگیرد. تیتانیوم مورد استفاده در کاشت هیچ مشکلی برای بدن ایجاد نمیکند و برای افزایش عمر ایمپلنت به نگهداری مناسب نیاز دارد، ایمپلنت به عنوان یک طرح لبخند برای افرادی که از مشکلات دندانی رنج میبرند روش مناسبی محسوب میشود.
انتخاب روش درمان طرح لبخند
دندانپزشک قبل از اصلاح طرح لبخند ابتدا سلامت حفره دهان و دندان ها، زیبایی دندان ها، لثه ها و کل ساختار دندان را بررسی میکند. این بررسی به این دلیل است که اگر از بیماریهای دهان و دندان مانند بیماری لثه، مشکلات انسداد دندان و سایر بیماریها رنج میبرید، باید قبل از انجام اصلاحات دندان، این بیماریها را درمان کنید.
اگر دندان ها روی هم قرار نگیرند ابتدا باید بازسازی دندان ها صورت گیرد، اگرچه کل درمان دهان کمی طول میکشد، اما این روش بخشی از لبخند را اصلاح میکند و اکثر بیماران به طور کلی راضی هستند. برای اصلاح طرح لبخند چند متخصص با هم به درمان بیمار میپردازند که ابتدا تکنسین دندانپزشکی معاینات مناسب را انجام میدهد و بیمار را به دندانپزشک ارجاع میدهد.
امروزه قبل از شروع روش طرح لبخند، میتوان تغییرات ایجاد شده در صورت بیمار را با استفاده از سیستم DSD یا همان طراحی دیجیتال لبخند مشاهده کرد. علاوه بر این، دندانپزشک با گرفتن قالب، تصمیم گیری در مورد برنامه درمانی را برای بیمار آسان تر میکند. هنگامی که دندانپزشک روش مناسب را انتخاب کرد، درمان طرح لبخند طبق روش انتخابی انجام میشود.
ماندگاری
یکی از سوالات پر تکرار مراجعین از متخصصین ما این است که مدت زمان ماندگاری انجام روش های زیبایی دندان چقدر است؟ بد نیست بدانید که ماندگاری هر یک از روش های درمانی و زیبایی به عوامل مختلفی چون کیفیت مواد مصرفی، مهارت دندانپزشک و اقدامات بهداشتی فرد بستگی دارد.
توجه داشته باشید که بعد از درمان و زیبایی دندان ها باید اقداماتی صورت گیرد تا عمر طرح لبخند افزایش یابد، همچنین ممکن است دندانپزشک لیستی از مراقبت های غذایی به شما ارائه دهد تا آسیبی به دندان وارد نشود.
هزینه درمان برای لبخندی دل نشین
تمام موارد ذکر شده بر هزینه طرح لبخند تاثیر میگذارند، به عنوان مثال در صورت نیاز به ایمپلنت، هزینه درمان بیشتر خواهد بود. با این حال، اگر فقط با ساخت کامپوزیت و سفید کردن آن به طرح کاملی دست پیدا کنیم، هزینه بسیار کمتر خواهد بود.
صرف نظر از اینکه کدام روش را انتخاب میکنید، هزینه های هر روش نیز متفاوت است. به عنوان مثال هزینه لمینت دندان به مواد ساخت، نوع لمینت و تجهیزات، میزان آسیب، هزینه قالب گیری و غیره بستگی دارد. همچنین هزینه طرح لبخند برای دندان های جلو و دندان آسیاب نیز متفاوت است.
با مراجعه به کلینیک تخصصی دندانپزشکی که از متخصصین مجرب و متعهد بهره میبرد و بالاترین کیفیت خدمات دندانپزشکی و زیبایی را ارائه میکند، میتوانید از هزینه های دقیق روش های گوناگون درمانی مطلع شوید.
آیا روش های زیبایی دندان درد دارد؟
دندانپزشکان با بهره گیری از روش های پیشرفته، طرح لبخند را تا حد امکان بدون درد و به راحتی انجام میدهند. برای اطمینان از اینکه بیمار پس از تزریق داروی بی حسی دردی احساس نکند، ابتدا دندانپزشک لثه ها را بی حس میکند.
مصرف داروهای آرام بخش به توصیه پزشک نیز میتواند روند اصلاح لبخند را برای بیمار آسان کند، در صورتی که درد و خونریزی زیادی را تجربه کردید بایستی سریعا با دندانپزشک خود تماس بگیرید و شرایط خود را برای او توضیح دهید تا از درد و خونریزی جلوگیری کنید.
سخن پایانی
تعداد دندان هایی که در ایجاد لبخند زیبا نقش دارند در هر فرد ممکن است متفاوت باشد، در بعضی افراد این امر ممکن است تعداد کمی از دندان ها یا مجموعه کاملی از دندان ها باشد. به لطف پیشرفت در فناوری دندانپزشکی، دندانپزشکان اکنون میتوانند با راه حل های مناسب، سریع و گوناگونی که ارائه می دهند ظاهر لبخند را با کمترین آسیب دندان تغییر دهند.
در صورتی که برای انجام طرح لبخند به مشاوره نیاز دارید و یا نمیدانید کدام روش برای دندان هایتان مناسب است، میتوانید با کارشناسان ما تماس بگیرید و یا به صورت حضوری به کلینیک دندانپزشکی مراجعه فرمایید تا بعد از معاینات اولیه، اقدامات لازم برای داشتن لبخندی دل نشین و جذاب صورت گیرد.






